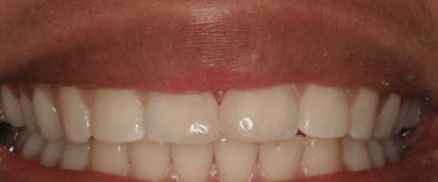
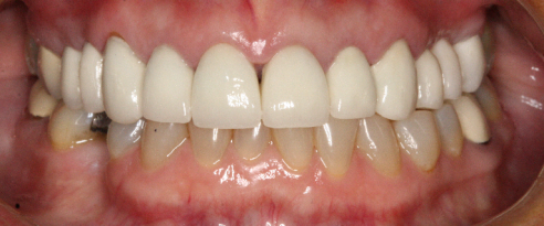
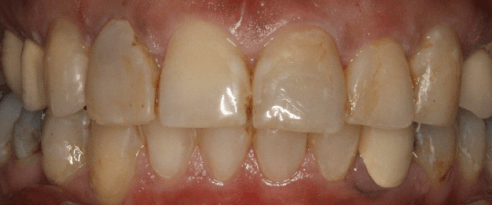
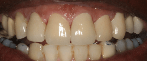
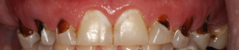
Photos of Our Dental Work in Rock Hill, SC
For 27 years and counting, Waters Edge Family Dental has been helping clients in South Carolina to improve their smiles and oral health. We can give you the confidence you need to smile freely, all while ensuring that your mouth is fully functional and healthy. Don’t put off the care you need one more day, come into our office in Rock Hill and get exceptional service from our highly trained dental staff!
On this page, we have collected photos of our clients before and after their procedures. We hope these inspire you to come in and visit us. These transformations are possible for you too!












